Mistanke om ulcerativ dermal nekrose hos hunderørret i Mjøsa
24.11.2025 15:58:32 CET | Veterinærinstituttet | Pressemelding
Undersøkingar av innsend sjuk og død fisk frå Mjøsa til Veterinærinstituttet stadfestar infeksjon med eggsporesoppen Saprolegnia parasitica, men gir òg mistanke om sjukdommen ulcerativ dermal nekrose (UDN).

19. oktober varsla ein privatperson Veterinærinstituttet om observasjon av sjuk og død hunderørret ved utløpet av Gudbrandsdalslågen i Lillehammer kommune. Veterinærinstituttets kontakta Oppland Jeger og fiskeforeining (OJFF) for bistand til uttak av aure til diagnostikk. OJFF fanga og avliva to aure og rapporterte i tillegg om observasjon av fleire sjuke og døydde aure i området. Veterinærinstituttet varsla Statsforvaltaren om observasjonane og om uttak av fisk til diagnostikk.
– Aurane hadde teikn til infeksjon med saprolegnia, men funna frå obduksjonen var annleis og mykje mildare enn det vi har observert hos anadrom laksefisk i trønderske elvar denne hausten. Dette understrekar viktigheita av å gjennomføre ei grundig helseundersøking, seier Åse Helen Garseth, fagansvarleg for villfiskhelse ved Veterinærinstituttet.
Mistanke om ulcerativ dermal nekrose (UDN)
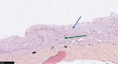
Diagnosen saprolegniose blei stadfesta ved dyrking og artsbestemming av Saprolegnia parasitica og dessutan ved observasjon av saprolegniahyfer som hadde vakse gjennom hudlag og inn i muskulatur. Men i tillegg blei det observert endringar i hud som gav mistanke om sjukdommen ulcerativ dermal nekrose (UDN).
Dette er ein hudsjukdom som har blitt påvist hos hunderørret tidlegare (i 1999), men som framleis har ukjend årsak, fortel Garseth.
Ho fortel at UDN rammar gytemodne laksefisk og førekjem hovudsakleg ved låge vasstemperaturar. Sjukdommen resulterer i vevsdød og sår i huda, og desse hudsårene vil raskt infiserast med sekundære smittestoff, hovudsakleg av saprolegnia. Dette forverrar sjukdommen betrakteleg og kan bli dødeleg fordi fisken får problem med å halde oppe væskebalansen.
Frå store utbrot i Storbritannia og frå Hunderørreten har mønsteret vore at sjukdommen held fram i tre til fire år, eller meir, for deretter å forsvinne igjen. I Noreg er UDN observert hos laks og sjøaure i elvar som munnar ut i Oslofjorden.
Varslingsplikt ved sjukdom hos villfisk
Dersom du oppdagar sjuke eller døde villfiskar, eller mistenkjer dårleg velferd, skal du varsle Veterinærinstituttet omgåande. Alle har plikt til å varsle, og melding til Veterinærinstituttet oppfyller denne plikta. Det er ikkje nødvendig å varsle Mattilsynet i tillegg.
- Les meir og meld frå via Sjuk villfisk-portalen
- Varsle om sjukdom, død eller dårleg velferd hos villfisk
- Les om Ulcerativ dermal nekrose (UDN)
- Les om Saprolegniose
- Villfiskrapporten 2024
- Listeføring og handtering av akvatiske sjukdommar (Mattilsynet)
- Sjukdomsutbrot hos laksefisk i Gaula og andre trønderske elvar
Nøkkelord
Kontakter
Åse Helen GarsethVeterinærinstitituttet/Fiskehelse og velferd, villfiskansvarlig
Tel:+4748991095ase-helen.garseth@vetinst.noBilder


Lenker
Om oss
Veterinærinstituttet er et biomedisinsk forskningsinstitutt og Norges ledende fagmiljø innen biosikkerhet for fisk og landdyr. Helt siden opprettelsen i 1891 har vi arbeidet for å avverge helsetrusler og se helse for fisk, dyr, mennesker og miljø i sammenheng - Én helse.
Kjerneaktivitetene omfatter forskning, diagnostikk, overvåking, risikovurdering, rådgiving og formidling. Veterinærinstituttet er nasjonalt og internasjonalt referanselaboratorium.
Veterinærinstituttet er et forvaltningsorgan med særskilt fullmakt under Landbruks- og matdepartementet. Hovedkontoret ligger i Ås, øvrige kontorer i Tromsø, Harstad, Brønnøysund, Trondheim, Bergen og Sandnes.
Følg pressemeldinger fra Veterinærinstituttet
Registrer deg med din e-postadresse under for å få de nyeste sakene fra Veterinærinstituttet på e-post fortløpende. Du kan melde deg av når som helst.
Siste pressemeldinger fra Veterinærinstituttet
Norsk dyrehelse er god – men klimaendringer øker presset23.4.2026 12:02:50 CEST | Pressemelding
Dyrehelsen i Norge er fortsatt blant de beste i verden, men klimaendringer og framvekst av klimasensitive sykdommer bidrar til økende sykdomspress og utfordrer dagens situasjon.
Forsker på mer miljøvennlige muse- og rottegifter15.4.2026 09:50:30 CEST | Pressemelding
Mange rottegifter havner dessverre også i ville rovdyr, hunder og katter, samt i miljøet. Nå forskes det på å finne rottegifter som er like effektive, men som brytes raskt ned i miljøet og dermed reduserer skadevirkninger på andre dyr.
Fortsatt fugleinfluensa hos villfugl25.3.2026 13:01:30 CET | Pressemelding
Det har vært mye fugleinfluensasmitte hos viltlevende andefugler i Europa gjennom vinteren. Den rekordhøye forekomsten har også preget ville fugler i Norge.
Påvirker parasitter overlevelsen til unge svalbardryper?17.3.2026 14:24:57 CET | Pressemelding
En ny studie undersøker om parasitter, særlig koksidier påvirker overlevelsen til ungfugl negativt. Et begrenset datagrunnlag peker mot at koksidier spiller en rolle. Forskerene anbefaler overvåkning av parasitten over tid for å forstå betydningen av parasitten.
Varmere sjø gir nye helse- og velferdsutfordringer i fiskeoppdrett11.3.2026 11:00:58 CET | Pressemelding
Høyere sjøtemperaturer bidro til rekord i antall lusebehandlinger i oppdrettsnæringen i 2025. Dette ga likevel ikke utslag i økt dødelighet for oppdrettslaksen, noe som indikerer at den generelle helsetilstanden kan ha vært bedre i 2025.
I vårt presserom finner du alle våre siste pressemeldinger, kontaktpersoner, bilder, dokumenter og annen relevant informasjon om oss.
Besøk vårt presserom