Utvikler potensiell vaksine mot antibiotikaresistent sykehusbakterie
8.12.2023 10:39:46 CET | UiT Norges arktiske universitet | Pressemelding
Forskere fra UiT Norges arktiske universitet og tyske Ludwig Maximillians University har funnet en ny og innovativ måte å lage vaksine mot kraftig antibiotikaresistent sykehusbakterie.

Å lage nye vaksiner er en av flere mulige strategier i kampen mot antibiotikaresistente bakterier, i tillegg til at vi både må bruke mindre antibiotika og bruke dem smartere.
Motstår «siste skanse»-antibiotika
En av de bakteriene som vi ennå ikke har vaksiner mot er Enterococcus faecium. Den er ofte motstandsdyktig mot mange vanlige antibiotika, inkludert en type reserve-antibiotika, eller «siste-skanse» antibiotika, som heter Vankomycin.
Pasienter som er innlagt på sykehus har ofte et dårligere immunforsvar og er spesielt utsatte for infeksjoner med denne bakterien. Dessuten gjør antibiotikaresistens at vi stadig oftere ikke lengre har effektive medisiner for å hjelpe pasientene i kampen mot denne bakterien.
Enkel å produsere
Nå har imidlertid forskere fra UiT Norges arktiske universitet og Ludwig Maximillians University i Tyskland funnet ut hvordan vi kan lage en enterokokk-vaksine som er relativt enkel å produsere.
Å ha tilgang til en slik vaksine mot antibiotikaresistente enterokokker vil være et viktig skritt i kampen mot antibiotikaresistens.
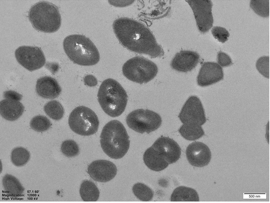
Stikkordet er membranvesikler. Det er små kuler som bakteriene skiller ut fra celleveggen, og de har noen fascinerende egenskaper. De er egentlig miniversjoner av bakteriene som skiller dem ut, og de har noen store fordeler som gjør dem til mulige kandidater til en vaksine som kan frigjøres naturlig i kroppen.
Vesiklene inneholder nemlig både immunstimulerende proteiner, DNA og fettstoffer. De er også veldig stabile, og de har ingen smittsomme egenskaper. Dermed kan de heller ikke gjøre oss syke.
UiT-forskerne har tidligere påvist hvordan vi kan isolere og ta vare på disse vesiklene, og nå har de altså funnet et nytt og viktig bruksområde for dem.
Kraftig immunboost
«Vi testet disse vesiklene på kaniner, og det førte til at immunsystemet til kaninene fikk en kraftig boost. Det serumet kaninene produserte testet vi så med stort hell på ulike stammer av enterokokker. Det tok til og med livet av enterokokker som er resistente mot en rekke typer antibiotika, også Vankomycinresistente bakterier», sier Theresa Wagner, forsker ved Institutt for medisinsk biologi ved UiT.
«Enterokokker er veldig tilpasningsdyktige og blir lett resistente mot nye antibiotika. Derfor er det viktig å finne alternative strategier for å bekjempe disse viktige antibiotikaresistente sykehusbakteriene», sier professor Kristin Hegstad ved Institutt for medisinsk biologi og medforfatter av den nye studien.
Studien Enterococcal Membrane Vesicles as Vaccine Candidates er finansiert av Helse Nord og Norsk overvåkingssystem for antibiotikaresistens (NORM) ved Universitetssykehuset Nord-Norge (UNN). Forskningen ble utført ved UiTs forskningssatsing i kampen mot antibiotikaresistens, CANS - Senter for nye antibakterielle strategier. CANS er finansiert av UiT og Tromsø forskningsstiftelse (TFS).
Nøkkelord
Kontakter
Kristin HegstadInstitutt for medisinsk biologi, UiT
Tel:+47 77 64 63 51Tel:97593783kristin.hegstad@uit.noTheresa WagnerInstitutt for medisinsk biologi, UiT
theresa.wagner@uit.noBilder



Følg pressemeldinger fra UiT Norges arktiske universitet
Registrer deg med din e-postadresse under for å få de nyeste sakene fra UiT Norges arktiske universitet på e-post fortløpende. Du kan melde deg av når som helst.
Siste pressemeldinger fra UiT Norges arktiske universitet
Samenes nasjonaldag: Rektors tale fra UiT Norges arktiske universitet6.2.2026 12:00:00 CET | Pressemelding
Rektor Dag Rune Olsen holder følgende hilsen på samenes nasjonaldag i Tromsø 6. februar 2026. Den samme talen vil også bli holdt på UiTs andre hovedcampus i Harstad, Narvik og Alta. Media kan publisere den etter eget ønske etter klokka 12.00.
Støre ga Mohnprisen til kanadisk forsker4.2.2026 12:49:02 CET | Pressemelding
Professor John P. Smol fikk i dag overlevert Mohnprisen fra statsminister Støre på Arctic Frontiers. – Du er en ekte leder og en viktig bidragsyter, sa statsministeren til prisvinneren.
Hele UiT feirer Samisk uke30.1.2026 10:41:45 CET | Pressemelding
Alt fra foredrag til konserter og filmvisning om det samiske gjennom uke 6 leder fram til selve finalen: Samenes nasjonaldag fredag 6. februar.
Ekspertliste: Samenes nasjonaldag 6. februar / Áššedovdilistu: Sámi álbmotbeaivi guovvamánu 6. beaivvi28.1.2026 12:43:11 CET | Pressemelding
Er du journalist og lurer på noe angående samenes nasjonaldag, 6. februar? Her finner du en liste over UiTs eksperter innen samerett, samisk historie, samisk kunst og kultur, politikk og mye mer. Leatgo journalista ja háliidat diehtit juoga Sámi álbmotbeaivvi birra, guovvamánu 6. beaivvi? Dáppe gávnnat listtu mas leat UiT áššedovdit sámerievttis, sámi historjjás, sámi dáidagis ja kultuvrras, politihkas ja ollu eará.
Nyttig med apper for å lære om psykisk helse28.1.2026 07:00:00 CET | Pressemelding
Ungdom synes apper om psykisk helse er nyttige for å få mer kunnskap om psykisk helse og nettmobbing. Men de er usikre på effekten.
I vårt presserom finner du alle våre siste pressemeldinger, kontaktpersoner, bilder, dokumenter og annen relevant informasjon om oss.
Besøk vårt presserom